
Which one of the following is used as a marker chromosome?
A. Monocentric chromosome
B. SAT chromosome
C. Idiosome
D. Chromosome
Answer
381.6k+ views
Hint: A chromosome is a lengthy DNA molecule that contains all or a portion of an organism's genetic code. Histones, which act as packing proteins for most eukaryotic chromosomes, collaborate with chaperone proteins to bind to and compress the DNA molecule to maintain the molecule's integrity.
Complete step-by-step solution:
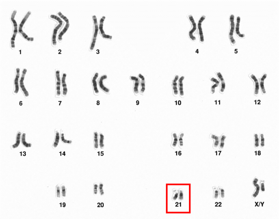
There is greater heterochromatin on the SAT chromosome. A chromosomal fragment that is divided from the chromosome's main body by such a secondary constriction is known as a satellite chromosome or SAT chromosome.
At metaphase, a chromatin filament seems to connect the satellite to the remainder of the chromosomal body. The chromosome is referred to be a nucleolar satellite chromosome if the secondary constriction includes the nucleolus organizer region. Each diploid nucleus has at least 2 SAT chromosomes. They are essential for the nucleolus to develop when cell division is finished.
Chromosomes with secondary structures that act as identifying markers are known as satellite chromosomes. Some chromosomes exhibit one or more additional constrictions at metaphase in addition to the centromere.
Satellite chromosomes are referred to as SAT chromosomes. Satellite chromosomes include chromosomes 13, 14, 15, 21, and 22. SAT-chromosomes with secondary constriction connected to nucleolus development are known as nucleolar SAT-chromosomes. Additional information: Satellites are autosomal translocations; however, they can occur on the Y chromosome.
Hence, option B is correct.
SAT chromosome is used as a marker chromosome.
Note: The appearance of twenty-two of these pairs, known as autosomes, is the same in both sexes. In contrast to females, who have two copies of the X chromosome, males only have one X and one Y chromosome. According to size, there are 22 autosomes.
Complete step-by-step solution:
There is greater heterochromatin on the SAT chromosome. A chromosomal fragment that is divided from the chromosome's main body by such a secondary constriction is known as a satellite chromosome or SAT chromosome.
At metaphase, a chromatin filament seems to connect the satellite to the remainder of the chromosomal body. The chromosome is referred to be a nucleolar satellite chromosome if the secondary constriction includes the nucleolus organizer region. Each diploid nucleus has at least 2 SAT chromosomes. They are essential for the nucleolus to develop when cell division is finished.
Chromosomes with secondary structures that act as identifying markers are known as satellite chromosomes. Some chromosomes exhibit one or more additional constrictions at metaphase in addition to the centromere.
Satellite chromosomes are referred to as SAT chromosomes. Satellite chromosomes include chromosomes 13, 14, 15, 21, and 22. SAT-chromosomes with secondary constriction connected to nucleolus development are known as nucleolar SAT-chromosomes. Additional information: Satellites are autosomal translocations; however, they can occur on the Y chromosome.
Hence, option B is correct.
SAT chromosome is used as a marker chromosome.
Note: The appearance of twenty-two of these pairs, known as autosomes, is the same in both sexes. In contrast to females, who have two copies of the X chromosome, males only have one X and one Y chromosome. According to size, there are 22 autosomes.
Recently Updated Pages
Choose the incorrect statement regarding the HardyWeinberg class 12 biology NEET_UG

Explain in brief the separation and isolation of DNA class 12 biology NEET_UG

Number of testicular lobules in testes is A 250 B 500 class 12 biology NEET_UG

Master Class 9 General Knowledge: Engaging Questions & Answers for Success

Master Class 9 Social Science: Engaging Questions & Answers for Success

Master Class 9 English: Engaging Questions & Answers for Success

Trending doubts
Which are the Top 10 Largest Countries of the World?

What is BLO What is the full form of BLO class 8 social science CBSE

The value of 6 more than 7 is A 1 B 1 C 13 D 13 class 7 maths CBSE

One Metric ton is equal to kg A 10000 B 1000 C 100 class 11 physics CBSE

There are 720 permutations of the digits 1 2 3 4 5 class 11 maths CBSE

What is the median of the first 10 natural numbers class 10 maths CBSE

