
Interphalangeal joints are also called as
A. Fixed joints
B. Hinge joints
C. Movable joints
D. Straight joints
Answer
569.1k+ views
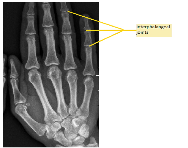
Hint: A joint in a human body is the connection between two bones. It is of three main types (immovable, slightly movable, and freely movable) based on whether it allows movement or not. Interphalangeal joints are present between the phalanges (bones in the thumb and fingers).
Complete answer:
Option (A) is incorrect. Fixed joints, as the name indicates, are joints that do not allow the movement of bones. These joints are present between the bones of the skull and the position where the radius and ulna bones of the lower part of the arm meet. Thus, permitting stability to these areas of the body.
Option (B) is correct. Hinge joints function much like the hinge of the door thereby allowing movement of the bones only in one direction back and forth further restricting the movement in other planes. These joints are present in fingers, toes, elbows, knees, and ankles. Since interphalangeal joints are known to be present in fingers and toes (made of phalanges) that provide movement of the bones towards the palm and foot therefore these interphalangeal joints are also called hinge joints.
Option (C) is incorrect. Movable joints are those joints that allow the most movement. They are the most common types of joints in the human body. These joints are also known as synovial joints.
Option (D) is incorrect. Straight joints are not present in the human body.
Hence, the correct option is (B).
Note: The hinge joint is that joint in which the two bones are connected by these joints that allow movement only in one direction. The interphalangeal joints are called hinge joints because these allow movement of the phalanges only in one direction.
Complete answer:
Option (A) is incorrect. Fixed joints, as the name indicates, are joints that do not allow the movement of bones. These joints are present between the bones of the skull and the position where the radius and ulna bones of the lower part of the arm meet. Thus, permitting stability to these areas of the body.
Option (B) is correct. Hinge joints function much like the hinge of the door thereby allowing movement of the bones only in one direction back and forth further restricting the movement in other planes. These joints are present in fingers, toes, elbows, knees, and ankles. Since interphalangeal joints are known to be present in fingers and toes (made of phalanges) that provide movement of the bones towards the palm and foot therefore these interphalangeal joints are also called hinge joints.
Option (C) is incorrect. Movable joints are those joints that allow the most movement. They are the most common types of joints in the human body. These joints are also known as synovial joints.
Option (D) is incorrect. Straight joints are not present in the human body.
Hence, the correct option is (B).
Note: The hinge joint is that joint in which the two bones are connected by these joints that allow movement only in one direction. The interphalangeal joints are called hinge joints because these allow movement of the phalanges only in one direction.
Recently Updated Pages
A man running at a speed 5 ms is viewed in the side class 12 physics CBSE

State and explain Hardy Weinbergs Principle class 12 biology CBSE

Which of the following statements is wrong a Amnion class 12 biology CBSE

Two Planoconcave lenses 1 and 2 of glass of refractive class 12 physics CBSE

The compound 2 methyl 2 butene on reaction with NaIO4 class 12 chemistry CBSE

Bacterial cell wall is made up of A Cellulose B Hemicellulose class 12 biology CBSE

Trending doubts
What are the major means of transport Explain each class 12 social science CBSE

Which are the Top 10 Largest Countries of the World?

Draw a labelled sketch of the human eye class 12 physics CBSE

Explain sex determination in humans with line diag class 12 biology CBSE

The pH of the pancreatic juice is A 64 B 86 C 120 D class 12 biology CBSE

Give 10 examples of unisexual and bisexual flowers

