
Which are the phagocytic cells from the given diagram?
a. I and V
b. I and III
c. I and IV
d. I and II
Answer
573.9k+ views
Hint: Phagocytes are those types of cells that engulf and “eat” other cells. Macrophages and neutrophils are the two types of phagocytes, which are both essential cells involved in immunity. Phagocytic cells are monocytes, macrophages, neutrophils, tissue dendritic cells, and mast cells.
Complete answer:
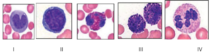
The given diagram shows different types of white blood cells(WBCs) or leucocytes.
- I represent monocytes.
- II represents lymphocytes.
- III represents eosinophil.
- IV represents basophil
- V represents neutrophil.
Out of these cells, phagocytic cells are monocytes and neutrophils i.e. I and V.
Monocytes are agranulocytes which are actively motile and phagocytic cells. Neutrophils are granulocytes that perform phagocytosis and destroy harmful bacteria entering the body.
Hence, the correct answer is option (A).
Additional information:
The phagocytosis process occurs when the cell tries to destroy foreign particles or pathogens such as bacteria or an infected cell by engulfing it in lytic enzymes. This process is also observed in single-celled organisms such as amoeba during the ingestion of food particles.
In humans, phagocyte cells protect the body by ingesting harmful pathogens like viruses, bacteria, and other infected/ dying cells. Phagocytosis is a vital aspect of the immune system and is undertaken by special cells like neutrophils and macrophages. By destroying the pathogens, the immune system stops the spread of infection or pathogens in the body.
Note: Figure I represents macrophages and figure V represents neutrophils both of which are the phagocytic cells of the body. Macrophages are precursors of monocytes, a type of agranulocytes and neutrophils are granulocytes with multilobed nuclei. Figures II, III and IV represent lymphocyte, eosinophil, and basophil respectively which do not perform phagocytosis.
Complete answer:
The given diagram shows different types of white blood cells(WBCs) or leucocytes.
- I represent monocytes.
- II represents lymphocytes.
- III represents eosinophil.
- IV represents basophil
- V represents neutrophil.
Out of these cells, phagocytic cells are monocytes and neutrophils i.e. I and V.
Monocytes are agranulocytes which are actively motile and phagocytic cells. Neutrophils are granulocytes that perform phagocytosis and destroy harmful bacteria entering the body.
Hence, the correct answer is option (A).
Additional information:
The phagocytosis process occurs when the cell tries to destroy foreign particles or pathogens such as bacteria or an infected cell by engulfing it in lytic enzymes. This process is also observed in single-celled organisms such as amoeba during the ingestion of food particles.
In humans, phagocyte cells protect the body by ingesting harmful pathogens like viruses, bacteria, and other infected/ dying cells. Phagocytosis is a vital aspect of the immune system and is undertaken by special cells like neutrophils and macrophages. By destroying the pathogens, the immune system stops the spread of infection or pathogens in the body.
Note: Figure I represents macrophages and figure V represents neutrophils both of which are the phagocytic cells of the body. Macrophages are precursors of monocytes, a type of agranulocytes and neutrophils are granulocytes with multilobed nuclei. Figures II, III and IV represent lymphocyte, eosinophil, and basophil respectively which do not perform phagocytosis.
Recently Updated Pages
Why are manures considered better than fertilizers class 11 biology CBSE

Find the coordinates of the midpoint of the line segment class 11 maths CBSE

Distinguish between static friction limiting friction class 11 physics CBSE

The Chairman of the constituent Assembly was A Jawaharlal class 11 social science CBSE

The first National Commission on Labour NCL submitted class 11 social science CBSE

Number of all subshell of n + l 7 is A 4 B 5 C 6 D class 11 chemistry CBSE

Trending doubts
Differentiate between an exothermic and an endothermic class 11 chemistry CBSE

10 examples of friction in our daily life

One Metric ton is equal to kg A 10000 B 1000 C 100 class 11 physics CBSE

Difference Between Prokaryotic Cells and Eukaryotic Cells

1 Quintal is equal to a 110 kg b 10 kg c 100kg d 1000 class 11 physics CBSE

State the laws of reflection of light

