
What is the Zona Reticularis?
Answer
469.5k+ views
Hint: The zona reticularis contains cylindrical masses of epithelia arranged in an irregular pattern. The cells have fewer vacuoles and are smaller in size. Zona reticularis secrete adrenal androgens, glucocorticoids and oestrogen. Specifically it produces dehydroepiandrosterone (DHEA) and androstenedione. These androgens are released into the blood and transported to gonads where they get converted into testosterone and oestrogen.
Complete explanation:
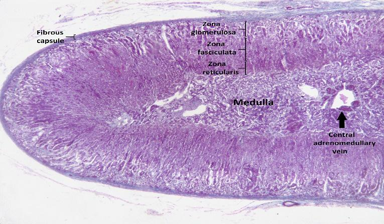
The zona reticularis is the innermost layer of the adrenal cortex gland. The adrenal glands are part of the endocrine system and located on top of the kidneys. The gland is made up of an inner medulla and an outer cortex. The outer cortex is divided into three zones namely zona glomerulosa, zona fasciculata and zona reticularis. The zona reticularis is responsible for production of androgens and secreting it into the bloodstream.
Fig: Zona reticularis in adrenal cortex gland
Androgens are a group of hormones that play an important role in the development of male sexual traits and reproductive activity. They also drive the spermatogenesis process in males. Androgens are present predominantly in males and in small amounts in females. In females, they are responsible for sex drive and pubic hair growth.
Note:
The zona glomerulosa of the adrenal cortex secretes aldosterone that regulates the reabsorption rates of potassium and sodium ions. The zona fasciculata secretes cortisol and it is responsible for increased breakdown of protein and fat, increased production of glucose and decreased inflammation. The cortisol is also important in the maturation of foetal lungs. The adrenal medulla produces the hormones epinephrine and norepinephrine, which regulate the fight or flight response in the body.
Complete explanation:
The zona reticularis is the innermost layer of the adrenal cortex gland. The adrenal glands are part of the endocrine system and located on top of the kidneys. The gland is made up of an inner medulla and an outer cortex. The outer cortex is divided into three zones namely zona glomerulosa, zona fasciculata and zona reticularis. The zona reticularis is responsible for production of androgens and secreting it into the bloodstream.
Fig: Zona reticularis in adrenal cortex gland
Androgens are a group of hormones that play an important role in the development of male sexual traits and reproductive activity. They also drive the spermatogenesis process in males. Androgens are present predominantly in males and in small amounts in females. In females, they are responsible for sex drive and pubic hair growth.
Note:
The zona glomerulosa of the adrenal cortex secretes aldosterone that regulates the reabsorption rates of potassium and sodium ions. The zona fasciculata secretes cortisol and it is responsible for increased breakdown of protein and fat, increased production of glucose and decreased inflammation. The cortisol is also important in the maturation of foetal lungs. The adrenal medulla produces the hormones epinephrine and norepinephrine, which regulate the fight or flight response in the body.
Recently Updated Pages
Why are manures considered better than fertilizers class 11 biology CBSE

Find the coordinates of the midpoint of the line segment class 11 maths CBSE

Distinguish between static friction limiting friction class 11 physics CBSE

The Chairman of the constituent Assembly was A Jawaharlal class 11 social science CBSE

The first National Commission on Labour NCL submitted class 11 social science CBSE

Number of all subshell of n + l 7 is A 4 B 5 C 6 D class 11 chemistry CBSE

Trending doubts
Differentiate between an exothermic and an endothermic class 11 chemistry CBSE

10 examples of friction in our daily life

One Metric ton is equal to kg A 10000 B 1000 C 100 class 11 physics CBSE

Difference Between Prokaryotic Cells and Eukaryotic Cells

1 Quintal is equal to a 110 kg b 10 kg c 100kg d 1000 class 11 physics CBSE

State the laws of reflection of light

