
What is Karyotype And idiogram?
Answer
467.7k+ views
Hint: A chromosome is a long DNA molecule that contains part or all of an organism's genetic material. Histones are packaging proteins found in most eukaryotic chromosomes that, with the help of chaperone proteins, bind to and condense the DNA molecule to maintain its integrity.
Complete answer:
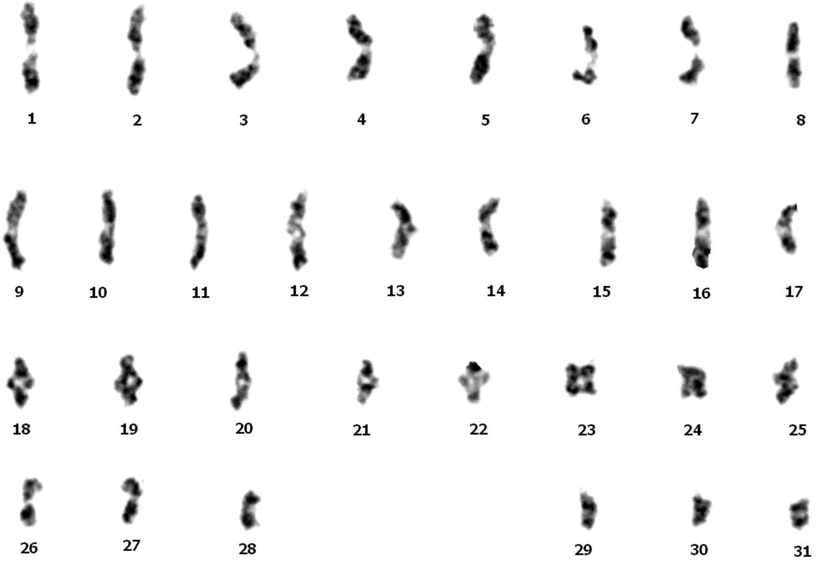
Karyotyping is the process of photographing chromosomes to determine an individual's chromosome complement, which includes the number of chromosomes as well as any abnormalities. The term karyotype also refers to a complete set of chromosomes in a species or an individual organism, as well as a test that detects or counts this complement.
Karyotypes describe an organism's chromosome count and how these chromosomes appear under a light microscope. Their length, centromere position, banding pattern, any differences between the sex chromosomes, and any other physical characteristics are all taken into account. Cytogenetics includes the preparation and study of karyotypes.
Idiogram is a diagrammatic representation of karyotype that shows all of the morphological features of the chromosomes grouped by centromere position and ordered in descending size order.
Each chromosome is identified using chromosome banding and painting techniques. These techniques are also used to distinguish each chromosome arm and to look into specific regions within the chromosome.
Thus, A karyotype is the set of chromosomes found in a species' nucleus. It reveals the chromosome's size, number, shape, and type. By observing metaphase chromosomes, this karyotype is created. This allows us to count the number of chromosomes, determine the length of the chromosome, the length ratio of the long and short arms, the position of centromeres, and the secondary constrictions.
The idiogram is a diagrammatic representation of karyotype. The homologous pair of chromosomes are arranged in decreasing length order while preparing an ideogram.
Image showing karyotype:
Image showing ideogram:
Note:
The study of entire chromosome sets is referred to as karyology. The chromosomes are represented in a standard format known as a karyogram or idiogram: in pairs, ordered by size and position of centromere for chromosomes of the same size (by rearranging a photomicrograph).
Complete answer:
Karyotyping is the process of photographing chromosomes to determine an individual's chromosome complement, which includes the number of chromosomes as well as any abnormalities. The term karyotype also refers to a complete set of chromosomes in a species or an individual organism, as well as a test that detects or counts this complement.
Karyotypes describe an organism's chromosome count and how these chromosomes appear under a light microscope. Their length, centromere position, banding pattern, any differences between the sex chromosomes, and any other physical characteristics are all taken into account. Cytogenetics includes the preparation and study of karyotypes.
Idiogram is a diagrammatic representation of karyotype that shows all of the morphological features of the chromosomes grouped by centromere position and ordered in descending size order.
Each chromosome is identified using chromosome banding and painting techniques. These techniques are also used to distinguish each chromosome arm and to look into specific regions within the chromosome.
Thus, A karyotype is the set of chromosomes found in a species' nucleus. It reveals the chromosome's size, number, shape, and type. By observing metaphase chromosomes, this karyotype is created. This allows us to count the number of chromosomes, determine the length of the chromosome, the length ratio of the long and short arms, the position of centromeres, and the secondary constrictions.
The idiogram is a diagrammatic representation of karyotype. The homologous pair of chromosomes are arranged in decreasing length order while preparing an ideogram.
Image showing karyotype:
Image showing ideogram:
Note:
The study of entire chromosome sets is referred to as karyology. The chromosomes are represented in a standard format known as a karyogram or idiogram: in pairs, ordered by size and position of centromere for chromosomes of the same size (by rearranging a photomicrograph).
Recently Updated Pages
A man running at a speed 5 ms is viewed in the side class 12 physics CBSE

State and explain Hardy Weinbergs Principle class 12 biology CBSE

Which of the following statements is wrong a Amnion class 12 biology CBSE

Two Planoconcave lenses 1 and 2 of glass of refractive class 12 physics CBSE

The compound 2 methyl 2 butene on reaction with NaIO4 class 12 chemistry CBSE

Bacterial cell wall is made up of A Cellulose B Hemicellulose class 12 biology CBSE

Trending doubts
What are the major means of transport Explain each class 12 social science CBSE

Which are the Top 10 Largest Countries of the World?

Draw a labelled sketch of the human eye class 12 physics CBSE

Explain sex determination in humans with line diag class 12 biology CBSE

The pH of the pancreatic juice is A 64 B 86 C 120 D class 12 biology CBSE

Give 10 examples of unisexual and bisexual flowers

